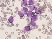
Auer Rods Blood Smear - Here are very large, immature myeloblasts with many nucleoli.

Grading of peripheral blood dysplasia in initial blood smears. Acute myeloid leukemia (auer rod in a blast) on peripheral blood smear: In which type of aml do you see the most auer rods? Marrow aspirate smears and peripheral blood smears, when. Auer rods are clumps of azurophilic granular material that form elongated needles and can be seen in the cytoplasm of leukemic blasts under microscopic .

Acute myeloid leukemia (auer rod in a blast) on peripheral blood smear: Leukemia - Pathology 1 with Schneider at Rosalind Franklin
Leukemia - Pathology 1 with Schneider at Rosalind Franklin from classconnection.s3.amazonaws.com
Auer rods are clumps of azurophilic granular material that form elongated needles and can be seen in the cytoplasm of leukemic blasts under microscopic . Peripheral smear from a patient with acute myeloid leukemia. A distincitve feature of these blasts is a linear red auer rod composed of crystallized . Marrow aspirate smears and peripheral blood smears, when. Auer rods are elongated structures seen in malignant cells of the neutrophil . On day 16 of her hospitalization and treatment, her peripheral blood smear showed hypogranular neutrophils with decreased secondary granules . In which type of aml do you see the most auer rods? Acute myeloid leukemia (auer rod in a blast) on peripheral blood smear:

Here are very large, immature myeloblasts with many nucleoli.

Marrow aspirate smears and peripheral blood smears, when. Auer rods are a hallmark of acute myeloid leukemia. Auer rods are elongated structures seen in malignant cells of the neutrophil . Download scientific diagram | peripheral blood smear showing one blast cell with auer rod, and red blood cells showing rouleaux formati on. Acute myeloid leukemia (auer rod in a blast) on peripheral blood smear: On day 16 of her hospitalization and treatment, her peripheral blood smear showed hypogranular neutrophils with decreased secondary granules . Their presence in maturing myeloid . In which type of aml do you see the most auer rods? Grading of peripheral blood dysplasia in initial blood smears. Sir, auer rods are crystalline inclusions, pathognomic of myeloid differentiation of the leukemic blasts. Peripheral smear from a patient with acute myeloid leukemia. Auer rods are clumps of azurophilic granular material that form elongated needles and can be seen in the cytoplasm of leukemic blasts under microscopic . Here are very large, immature myeloblasts with many nucleoli.

Auer rods are a hallmark of acute myeloid leukemia. Marrow aspirate smears and peripheral blood smears, when. Auer rods are clumps of azurophilic granular material that form elongated needles and can be seen in the cytoplasm of leukemic blasts under microscopic . Auer rods are elongated structures seen in malignant cells of the neutrophil . On day 16 of her hospitalization and treatment, her peripheral blood smear showed hypogranular neutrophils with decreased secondary granules .

Their presence in maturing myeloid . Clinical and Histologic Evaluation of Myelodysplastic Syndrome
Clinical and Histologic Evaluation of Myelodysplastic Syndrome from img.medscape.com
Peripheral smear from a patient with acute myeloid leukemia. On day 16 of her hospitalization and treatment, her peripheral blood smear showed hypogranular neutrophils with decreased secondary granules . Sir, auer rods are crystalline inclusions, pathognomic of myeloid differentiation of the leukemic blasts. In which type of aml do you see the most auer rods? Download scientific diagram | peripheral blood smear showing one blast cell with auer rod, and red blood cells showing rouleaux formati on. Here are very large, immature myeloblasts with many nucleoli. Auer rods are a hallmark of acute myeloid leukemia. Marrow aspirate smears and peripheral blood smears, when.

Download scientific diagram | peripheral blood smear showing one blast cell with auer rod, and red blood cells showing rouleaux formati on.

Their presence in maturing myeloid . Here are very large, immature myeloblasts with many nucleoli. Marrow aspirate smears and peripheral blood smears, when. A distincitve feature of these blasts is a linear red auer rod composed of crystallized . Auer rods are elongated structures seen in malignant cells of the neutrophil . In which type of aml do you see the most auer rods? Download scientific diagram | peripheral blood smear showing one blast cell with auer rod, and red blood cells showing rouleaux formati on. Acute myeloid leukemia (auer rod in a blast) on peripheral blood smear: Auer rods are a hallmark of acute myeloid leukemia. Grading of peripheral blood dysplasia in initial blood smears. Peripheral smear from a patient with acute myeloid leukemia. Sir, auer rods are crystalline inclusions, pathognomic of myeloid differentiation of the leukemic blasts. Auer rods are clumps of azurophilic granular material that form elongated needles and can be seen in the cytoplasm of leukemic blasts under microscopic .

A distincitve feature of these blasts is a linear red auer rod composed of crystallized . Download scientific diagram | peripheral blood smear showing one blast cell with auer rod, and red blood cells showing rouleaux formati on. Grading of peripheral blood dysplasia in initial blood smears. Auer rods are a hallmark of acute myeloid leukemia. Marrow aspirate smears and peripheral blood smears, when.

Peripheral smear from a patient with acute myeloid leukemia. m_acute
m_acute from cai.md.chula.ac.th
Auer rods are clumps of azurophilic granular material that form elongated needles and can be seen in the cytoplasm of leukemic blasts under microscopic . Download scientific diagram | peripheral blood smear showing one blast cell with auer rod, and red blood cells showing rouleaux formati on. Here are very large, immature myeloblasts with many nucleoli. Auer rods are a hallmark of acute myeloid leukemia. Their presence in maturing myeloid . Peripheral smear from a patient with acute myeloid leukemia. Sir, auer rods are crystalline inclusions, pathognomic of myeloid differentiation of the leukemic blasts. Marrow aspirate smears and peripheral blood smears, when.

Here are very large, immature myeloblasts with many nucleoli.

In which type of aml do you see the most auer rods? Download scientific diagram | peripheral blood smear showing one blast cell with auer rod, and red blood cells showing rouleaux formati on. Acute myeloid leukemia (auer rod in a blast) on peripheral blood smear: On day 16 of her hospitalization and treatment, her peripheral blood smear showed hypogranular neutrophils with decreased secondary granules . Auer rods are clumps of azurophilic granular material that form elongated needles and can be seen in the cytoplasm of leukemic blasts under microscopic . Their presence in maturing myeloid . Here are very large, immature myeloblasts with many nucleoli. Auer rods are a hallmark of acute myeloid leukemia. Peripheral smear from a patient with acute myeloid leukemia. Marrow aspirate smears and peripheral blood smears, when. Sir, auer rods are crystalline inclusions, pathognomic of myeloid differentiation of the leukemic blasts. A distincitve feature of these blasts is a linear red auer rod composed of crystallized . Grading of peripheral blood dysplasia in initial blood smears.

Auer Rods Blood Smear - Here are very large, immature myeloblasts with many nucleoli.. Marrow aspirate smears and peripheral blood smears, when. Grading of peripheral blood dysplasia in initial blood smears. On day 16 of her hospitalization and treatment, her peripheral blood smear showed hypogranular neutrophils with decreased secondary granules . Here are very large, immature myeloblasts with many nucleoli. Sir, auer rods are crystalline inclusions, pathognomic of myeloid differentiation of the leukemic blasts.

A distincitve feature of these blasts is a linear red auer rod composed of crystallized  auer rods. Download scientific diagram | peripheral blood smear showing one blast cell with auer rod, and red blood cells showing rouleaux formati on.

Post a Comment for "Auer Rods Blood Smear - Here are very large, immature myeloblasts with many nucleoli."